leczenie osoczem bogatopłytkowym PRP
Rawa Mazowiecka, Skierniewice

Zapraszamy
Zespół Gadent

O NAS
1993
Jesteśmy z Państwem od ponad 32 lat
Dziękujemy za zaufanie

Gadent - leczenie osoczem
Leczenie osoczem w stomatologii polega na pobraniu niewielkiej ilości krwi pacjenta, a następnie jej odwirowaniu w celu uzyskania koncentratu płytek krwi (PRP) lub fibryny bogatopłytkowej (PRF). Ten autologiczny (pochodzący od pacjenta) preparat, bogaty w czynniki wzrostu, jest stosowany jako naturalny opatrunek lub materiał do wypełniania ubytków, znacząco przyspieszając gojenie, regenerację kości i tkanek miękkich oraz redukując ból i stany zapalne po zabiegach chirurgicznych.
NIEOGRANIOCZONE MOŻLIWOŚCI
Gadent: To doświadczony zespół i troska o pacjenta,
Nasi lekarze to pasjonaci swojej pracy. Zawsze zapewniamy pacjentom najwyższy poziom bezpieczeństwa i komfortu. Jesteśmy tutaj dla Ciebie

Bezpieczeństwo pacjenta
Komórki macierzyste
Terapie oparte na PRP i komórkach macierzystych są bezpieczne, ponieważ wykorzystują własne zasoby organizmu pacjenta

Leczenie osoczem
Nowoczesna stomatologia
Osocze bogatopłytkowe i komórki macierzyste to fundament nowoczesnej, biologicznej stomatologii i medycynie estetycznej. Dzięki nim leczenie staje się bardziej naturalne

Leczenie osoczem
Wzmocnienie włosów
Jednym z najnowocześniejszych i bezpieczniejszych rozwiązań jest terapia osoczem bogatopłytkowym (PRP). Zabieg wykorzystuje naturalny potencjał organizmu do regeneracji i odbudowy mieszków włosowych

Leczenie osoczem
Nowe włosy
Terapia PRP to bezpieczna, mało inwazyjna i skuteczna metoda, która wykorzystuje wyłącznie naturalne zasoby organizmu. To rozwiązanie dla osób, które szukają alternatywy dla farmakologii czy przeszczepów.
Osocze bogatopłytkowe
Leczenie osoczem
Jak działa osocze bogatopłytkowe?
Osocze bogatopłytkowe pozyskuje się z krwi pacjenta w procesie odwirowania. Koncentrat płytek zawiera czynniki wzrostu, które pobudzają procesy gojenia, przyspieszają regenerację tkanek i stymulują tworzenie nowych naczyń krwionośnych.
Dzięki temu PRP:
-
wspiera gojenie po zabiegach chirurgicznych w stomatologii, np. po ekstrakcjach czy implantacjach,
-
ogranicza ryzyko powikłań i infekcji,
-
poprawia jakość i szybkość regeneracji tkanek dziąsłowych i kostnych.
W medycynie estetycznej PRP znane jest jako tzw. „wampirzy lifting” – naturalna metoda odmładzania skóry poprzez stymulację produkcji kolagenu, poprawę jędrności i redukcję drobnych zmarszczek.
Lekarze stomatolodzy :
-
lek. stomatolog Gabriela Sobolewska-Nałęcz
-
lek. stomatolog Sylwia Nowakowska




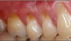
Przed zabiegiem

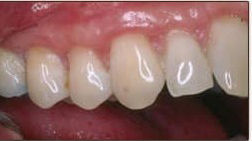
Po zabiegu
Medycyna estetyczna







